
Heel spurs are bony growths that develop on the underside of the heel bone, often forming in response to long-term strain on foot muscles and ligaments. They can be caused by weakened muscles that fail to properly support the foot, joint stiffness that alters walking patterns, and repeated forced impact from walking or standing on hard floors. These factors place extra stress on the heel, leading to inflammation and pain. A podiatrist can diagnose heel spurs through examination and imaging, then recommend treatments like custom orthotics, stretching exercises, and supportive footwear. If heel pain is affecting your daily life, it is suggested that you consult a podiatrist who can accurately diagnose and treat heel spurs.
Heel spurs can be incredibly painful and sometimes may make you unable to participate in physical activities. To get medical care for your heel spurs, contact one of our podiatrists from Houston Foot and Ankle Care. Our doctors will do everything possible to treat your condition.
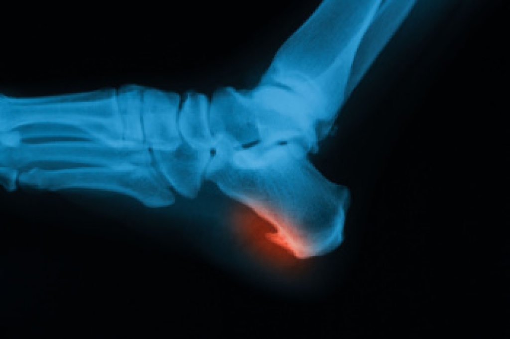
Heels Spurs
Heel spurs are formed by calcium deposits on the back of the foot where the heel is. This can also be caused by small fragments of bone breaking off one section of the foot, attaching onto the back of the foot. Heel spurs can also be bone growth on the back of the foot and may grow in the direction of the arch of the foot.
Older individuals usually suffer from heel spurs and pain sometimes intensifies with age. One of the main condition's spurs are related to is plantar fasciitis.
Pain
The pain associated with spurs is often because of weight placed on the feet. When someone is walking, their entire weight is concentrated on the feet. Bone spurs then have the tendency to affect other bones and tissues around the foot. As the pain continues, the feet will become tender and sensitive over time.
Treatments
There are many ways to treat heel spurs. If one is suffering from heel spurs in conjunction with pain, there are several methods for healing. Medication, surgery, and herbal care are some options.
If you have any questions, please feel free to contact our offices located in Inner Loop, Southwest, Greater Heights, and Pearland, TX . We offer the newest diagnostic and treatment technologies for all your foot care needs.




